むし歯の初期症状とは?早期発見で削らずに済む?
- 2025年10月17日
- むし歯・歯周病
目次|むし歯の初期症状とは?早期発見で削らずに済む?
- むし歯ができるのは歯が弱いから?
- フッ化物と定期チェックの重要性
2-1. C0〜C4の分類と特徴
2-2. 初期症状は痛みがなく、自覚しにくいこと
- フッ化物の3つの作用(再石灰化促進・耐酸性強化・細菌抑制)
- 日常生活での活用方法(歯磨き粉・洗口液・医院での塗布)
- C0〜C1段階であれば再石灰化で進行抑制が可能
- 食習慣や唾液の働きも重要な要素
- 治療後もむし歯リスクは続く
- プラークコントロールや形態修正
- フッ化物応用と「進行を止めて管理する」考え方
- プロによるバイオフィルム除去とセルフケアチェック
- 定期的なレントゲンでの確認が欠かせない理由
- 歯間部むし歯や二次むし歯の早期発見に有効
- 被ばく量が少なく、定期的な撮影に適している
Q1. 初期むし歯は自然に治るの?
Q2. フッ化物は子どもだけが必要?
Q3. 痛みがなくても歯医者に行くべき?
9. まとめ:早期発見と継続的管理で「削らない治療」をめざそう
- フッ化物は予防と管理の必須アイテム
- 初期むし歯なら削らずに進行を止められる可能性
- 定期メインテナンスとバイトウイングで歯を守る
1. はじめに:むし歯は「予防できる病気」です
「むし歯は誰でもなるもの」「仕方ないもの」というイメージを持っている方は多いのではないでしょうか。
しかし現在では、むし歯は予防できる病気であることが明らかになっています。
予防のカギになるのは、フッ化物の継続的な使用と、歯科医院での定期的なメインテナンスです。むし歯は早期の段階で見つけることができれば、削らずに進行を止めることも可能です。逆に、痛みが出るほど進んでからでは削る治療や神経の処置が必要になり、歯の寿命を縮めてしまいます。
このコラムでは、むし歯の初期症状と進行段階、フッ化物を使った予防と進行抑制、さらに定期的なメインテナンスやレントゲンの重要性について解説します。
2. むし歯の進行段階と初期症状
むし歯は進行度に応じてC0からC4までの段階に分類されます。
・C0(要観察歯)
歯の表面が白く濁ったり、透明感が失われたりします。穴は開いていませんが、初期むし歯のサインです。
・C1(エナメル質のむし歯)
歯の表面に小さな穴が開きます。まだ痛みは少なく、気づきにくい段階です。
・C2(象牙質まで進行)
冷たいものがしみるようになります。削る治療が必要になることが多い段階です。
・C3(神経に到達)
強い痛みが出ます。神経の治療(根管治療)が必要になるケースがほとんどです。
・C4(歯根まで進行)
歯の大部分が崩壊し、抜歯となる可能性が高いです。
このように、痛みが出るのはむし歯がある程度進行してから(C2以降)であり、それまでの初期むし歯は自覚症状がありません。だからこそ、早期発見が大切なのです。
3. 予防と進行抑制の大前提:フッ化物の活用
むし歯予防や進行抑制の土台となるのが、フッ化物の応用です。
フッ化物には大きく3つの効果があります。
・再石灰化の促進:溶け始めた歯を修復する
・歯の耐酸性を高める:酸に溶けにくい強い歯を作る
・むし歯菌の働きを抑える:酸の産生を抑制する
日常生活では、フッ化物入り歯磨き粉を使うことが最も身近で効果的な方法です。さらに、フッ化物洗口や歯科医院での高濃度フッ化物塗布を組み合わせることで、予防効果を高めることができます。
むし歯予防は「歯磨きを頑張ること」だけでは不十分です。フッ化物を生活に取り入れることがむし歯予防の生命線だと考えてください。
4. 初期むし歯は削らずに済む?
「むし歯になったら必ず削る」と思っていませんか?
実は、C0〜C1の初期むし歯は削らずに済むことがあります。
フッ化物を使って再石灰化を促し、生活習慣を整えることで、進行を止めたり元の状態に近づけたりできるのです。
そのためには、早期発見できる診療体制と、定期的なメインテナンスによるむし歯管理の両方を備えた歯科医院を利用すると良いでしょう。
ちなみに、むし歯をいつ削るべきかについてはガイドライン(日本保存歯科学会編)が存在します。いくつか判断基準がありますが、その1つとして、「エックス線写真で象牙質層の1/3を超える病変を認める」とあります。象牙質というのは、歯の表面より深いところを指します。「むし歯があればとにかく削る」というのは、時代遅れになっています。
削らずに済むために大切なこと
・フッ化物を毎日使う(フッ化物配合歯磨き粉は必須、歯科医院での塗布も効果的)
・間食や甘い飲み物を控える(特にダラダラ飲食は危険)
・唾液の力を活かす(水分補給やよく噛む習慣)
特にフッ化物の効果は科学的根拠が豊富で、強く推奨されます。
5. 進行したむし歯でも管理が大切
C2以降に進行すると削る治療が必要になることが多いですが、削った後もむし歯リスクは続きます。
ここで重要になるのが、プラークコントロールとフッ化物応用による進行抑制です。
ポイント
・プラークコントロール:歯磨き指導だけでなく、必要に応じて歯の形態を修正(段差や詰め物の不適合を改善)して清掃しやすくする
・フッ化物応用:治療後もフッ化物を継続し、再発を防ぐ
・病気を「止めて管理する」考え方:むし歯を「治す」から「進行させない」へと発想を変えることが重要
治療して終わりではなく、その後の管理が歯の寿命を左右します。
削って終わりという従来の受診スタイルは、むし歯の根本的な原因を放置してしまいます。結果、むし歯が再発し、治療を繰り返し、歯がどんどん人工物に置きかわる。やがて歯が限界を迎え、「抜きましょう」と宣告される。このような悪循環から抜け出す必要があります。
むし歯治療の悪循環から抜け出すためには、菌を減らすこと(=プラークコントロール)と、歯を強くすること(=フッ化物の活用)の2本柱を大切にしましょう。
6. 定期的なメインテナンスの必要性
むし歯の進行を防ぐには、定期的なメインテナンスが不可欠です。
歯科医院で行うメインテナンスでは、
・プラークやバイオフィルムの除去
・フッ化物塗布
・セルフケアのチェック&アドバイス
を行い、再発を防ぎます。
さらに、定期的なレントゲン撮影も欠かせません。特に歯と歯の間のむし歯は目で見ても発見が難しく、レントゲンでしか確認できないケースが多いのです。
7. むし歯管理に有効な「バイトウイング」レントゲンとは?
むし歯の早期発見に最も有効とされるのが、バイトウイング法によるレントゲン撮影です。
- 歯と歯の間の小さなむし歯を見つけやすい
- 治療後の詰め物の適合や再発むし歯の確認にも役立つ
- 被ばく線量が少なく、安心して定期的に撮影できる
欧米ではバイトウイングを1年に1回程度の定期健診で撮影することが推奨されています。日本ではまだ一般的ではありませんが、当院ではむし歯の早期発見・進行抑制のために積極的に導入しています。
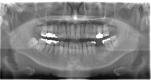
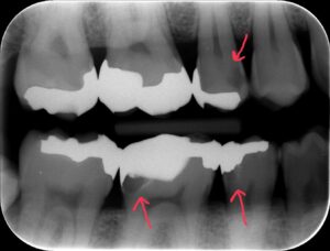
下の参考写真をご覧ください。パノラマエックス線写真というのは、日本の歯科医院でよく撮影されるものです。短時間で撮影でき、全体を把握するのに向いています。この方の場合、パノラマエックス線写真ではむし歯が見当たらず、直接口腔内を見てもむし歯は確認できませんでした。ところが、当院でバイトウイングを撮影したところ、パノラマエックス線写真や目視では確認できなかったむし歯が見つかりました。このようなむし歯は「隠れむし歯」と呼ばれ、気づくのが遅れるとかなり進行してしまいます。
【参考写真】パノラマエックス線写真とバイトウイングでのむし歯の見え方の違い

パノラマエックス線写真

バイトウイングで見つかった「隠れむし歯」
8. よくある質問(Q&A)
Q1. 初期むし歯は自然に治るの?
完全に元に戻るわけではありませんが、フッ化物を継続的に使うことで再石灰化が起こり、進行を止めることが可能です。
Q2. フッ化物は子どもだけが必要?
いいえ。大人もむし歯になりますし、治療した歯の再発予防にもフッ化物は欠かせません。
Q3. 痛みがなくても歯医者に行くべき?
むしろ痛みが出る前に受診することが重要です。痛みが出たときにはC2以上に進行していることが多く、削る治療が必要になります。
9. まとめ:早期発見と継続的管理で「削らない治療」をめざそう
・むし歯は予防できる病気である
・予防や進行抑制にはフッ化物の継続使用が大前提
・初期なら削らずに進行を止められる可能性がある
・進行したむし歯でも、プラークコントロールとフッ化物応用で管理が可能
・定期的なメインテナンスとバイトウイング撮影が、歯を守る最大の武器
歯を守るために一番大切なのは、「気づいたときに受診する」のではなく、「むし歯になる前から予防の習慣を続ける」ことです。
早期発見と予防管理が、歯の一生を左右します。
監修:もりわき歯科 院長 森脇 一都
予防先進国スウェーデンの診療体制を日本に届けることを目指し、芦屋市にもりわき歯科を開院。本記事は、ご自身やご家族のお口の健康を守りたいと願うすべての人に、正しい知識を届けるために監修しました。
