インスタロゴ
ヘッダー画像

むし歯・歯周病

むし歯・歯周病|もりわき歯科|芦屋駅すぐの歯科・歯医者

マウスウォッシュは本当に必要?歯磨きとの正しい使い分け

ドラッグストアに行くと、さまざまな種類のマウスウォッシュが並んでいます。「殺菌」…

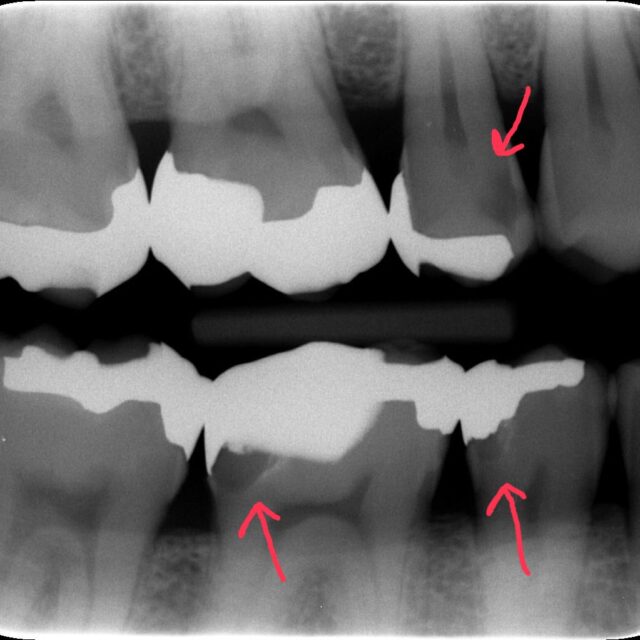
歯ぐきからの出血を放置していませんか?“痛くない歯周病”の落とし穴

目次 歯ぐきからの出血を「様子見」していませんか? たった1か所の出血でも歯周病…

歯の神経を残す治療とは?できるだけ削らない最新のむし歯治療

目次 歯の神経を残す治療とは?できるだけ削らない最新のむし歯治療 歯の神経(歯髄…

「歯石を取るだけで終わりじゃない。歯周病予防の本当のゴールとは?」

目次 1. はじめに:なぜ多くの人が“歯石さえ取れば大丈夫”と思ってしまうのか …

年末年始に増える“歯ぐきの腫れ”と出血。実はストレスや生活リズムも関係している?

目次 1. はじめに:年末年始に“歯ぐきの腫れ”が増える理由とは? ・実は「歯周…

1 2
 矢印のアイコン