インスタロゴ
ヘッダー画像

医療コラム

医療コラム|もりわき歯科|芦屋駅すぐの歯科・歯医者

子どもが歯磨きを嫌がる理由は“性格”じゃない?発達段階から考える対処法

目次 なぜ子どもは歯磨きを嫌がるのか?よくある親の誤解 歯磨き嫌いは“性格”では…

仕上げ磨きはいつまで必要?年齢別に見る“やめ時”の考え方

目次 そもそも仕上げ磨きはなぜ必要なのか 「何歳まで?」と聞かれても一律に答えら…

歯科医院によって説明が違うのはなぜ?治療方針に差が出る理由

目次 なぜ同じ歯なのに、歯科医院ごとに説明が違うのか? 歯科医師の「考え方」と「…

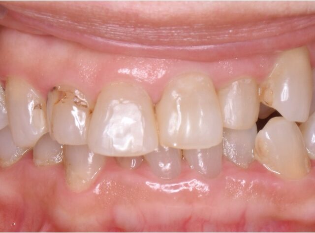
歯を失う原因ランキング。実は“むし歯”より多い意外な理由とは?

目次 なぜ「歯を失う原因」を知ることが重要なのか 【第1位】歯を失う最大の原因は…

歯の寿命はどこで決まる?20代・30代からできる将来への投資

目次 歯の寿命は「年齢」ではなく「選択」で決まる 日本人の歯はなぜ早く失われやす…

1 2 3 4 5 6 10
 矢印のアイコン